
Other Fractures
A typical example is a fall at speed from a motor bike. In individuals with osteoporosis a scapula fracture can occur with a simple fall at home. Most are managed in a sling and without surgery.
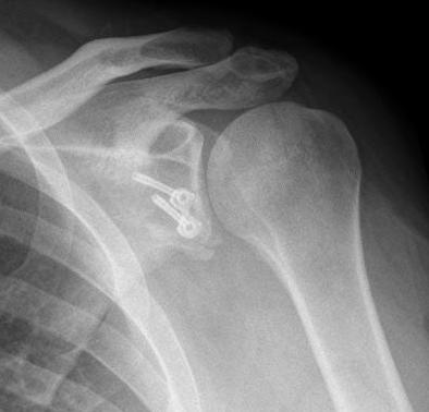
Glenoid fractures occur the margins of the shoulder joint on the scapula side and are largely due to the trauma of a shoulder dislocation. Surgery may be needed but depends more on the features of the dislocation than the fracture itself.
Other parts of the scapula can be fractured such as the scapula spine, the coracoid process or the acromion. Each is managed individually most without surgery.
The proximal humerus may fracture into multiple fragments or individual single pieces of bone associated with the attachment of the rotator cuff. Each of these fractures require careful assessment and if displaced surgical management as they are the attachment of the rotator cuff.
“Most other fractures are managed without surgery”
Make an appointment
If you wish to make an appointment to discuss your needs further, please get in touch.

Hermitage Medical Clinic
Old Lucan Road
Dublin 20
Call for appointments: 01 6459562
Telephone: +353 1 645 9000
Fax: +353 1 645 9235
Email: info@johnlunn.ie





