
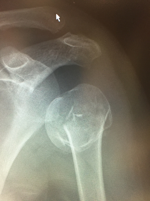
Proximal Humeral Fracture
They may occur following a simple fall in patients with osteoporosis or at the other extreme happen at a high velocity as in a motorcycle accident in a young patient with normal bone density.
The majority of these fractures are diagnosed with appropriate x-rays. If there is any doubt as to the fractures complexity as in when surgery is being contemplated a CT scan may be of help. MRI is only helpful in diagnosis if no fracture is seen on x-ray as it may detect undisplaced fractures or rotator cuff damage.
The majority of proximal humeral fractures are treated conservatively. Surgery is indicated for very displaced fractures or those associated with a dislocation. Conservative treatment is by using a sling to support the shoulder for the initial 6 weeks. This sling can be removed in a safe environment to allow the arm to rest straight by the side allowing showering. Active movement is avoided for the 6 weeks.
Surgery allows the fracture fragments to be re-aligned. The fracture is then held in a reduced position using a locking plate. Surgery is done thro the deltopectoral interval under general anaesthesia. Following surgery the arm is in a sling for 6 weeks although gentle passive movement is allowed.
All patients develop a stiff shoulder following surgery. Individuals under 30 or over 60 often get moving quicker. It appears that the inflammatory response to the injury and surgery is not as pronounced. It is inflammation in the shoulder which causes stiffness (known as a frozen shoulder). While 95% of surgery is uneventful complications may occur.
In some instances if the fracture is very displaced in the presence of osteoporotic bone it is better off being replaced with a reverse geometry total shoulder.
Links to risks and complications
Complications such as infection or nerve injury can occur but are rare, approximately 1/100. These complications are serious and may result in permanent loss of function in the shoulder.
Not all fractures will heal. There is a 5% chance of the fracture healing being delayed or not occurring at all.
Smoking is the single biggest risk for a fracture not healing even after surgery.
Following fractures of the proximal humerus there is a risk that the blood supply to the humeral head (the part of the upper arm that has cartilage on it and makes up the joint) is damaged resulting in avascular necrosis. This means that the round surface flattens out often ending up with the shoulder being replaced (which works well).
It takes a year following a proximal humeral before the stiffness resolves and the function improves.
“The majority of proximal humeral fractures are treated conservatively.”
Make an appointment
If you wish to make an appointment to discuss your needs further, please get in touch.

Hermitage Medical Clinic
Old Lucan Road
Dublin 20
Call for appointments: 01 6459562
Telephone: +353 1 645 9000
Fax: +353 1 645 9235
Email: info@johnlunn.ie


